woman smiling through heart hands

Before & After Gallery

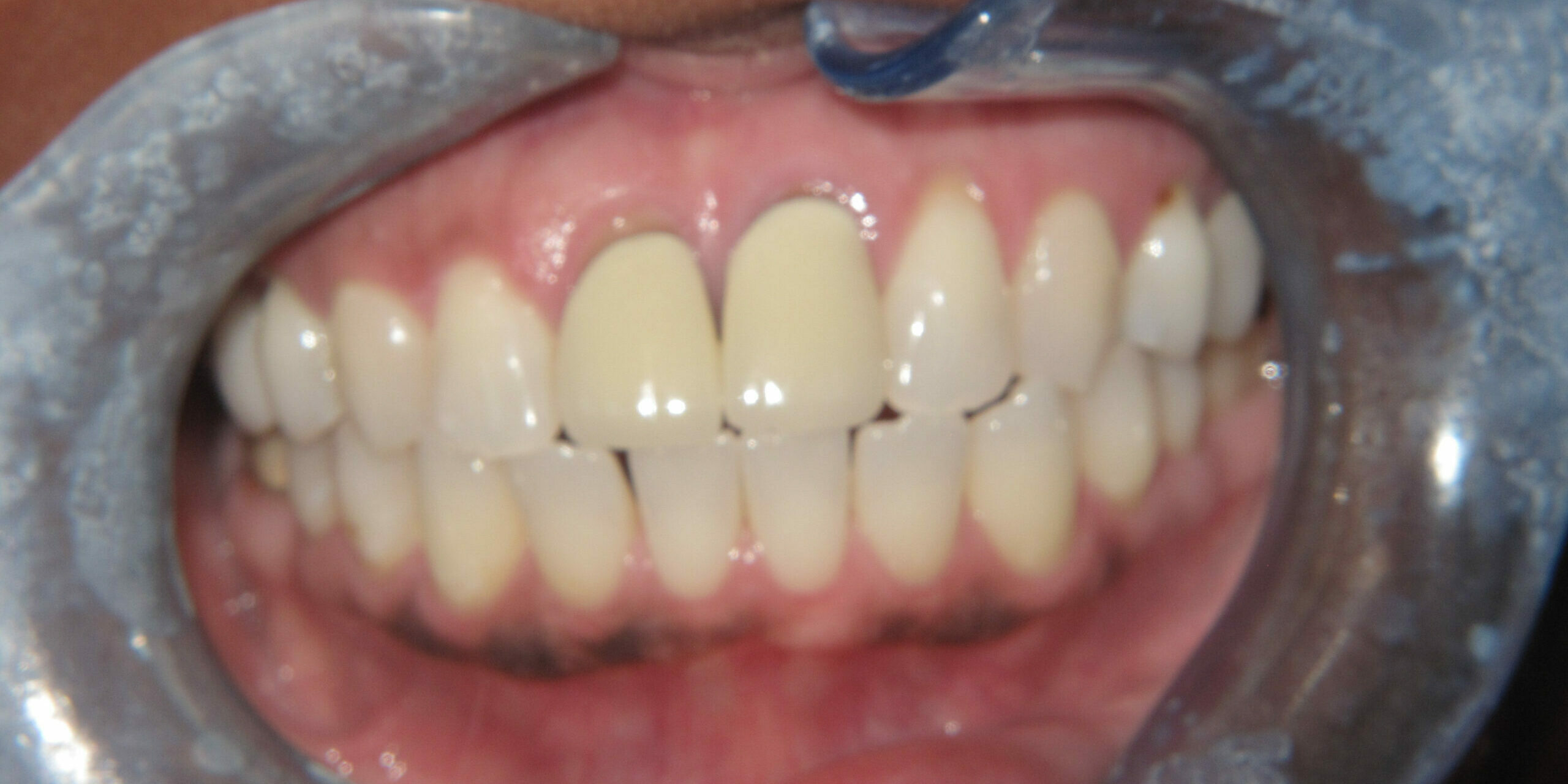
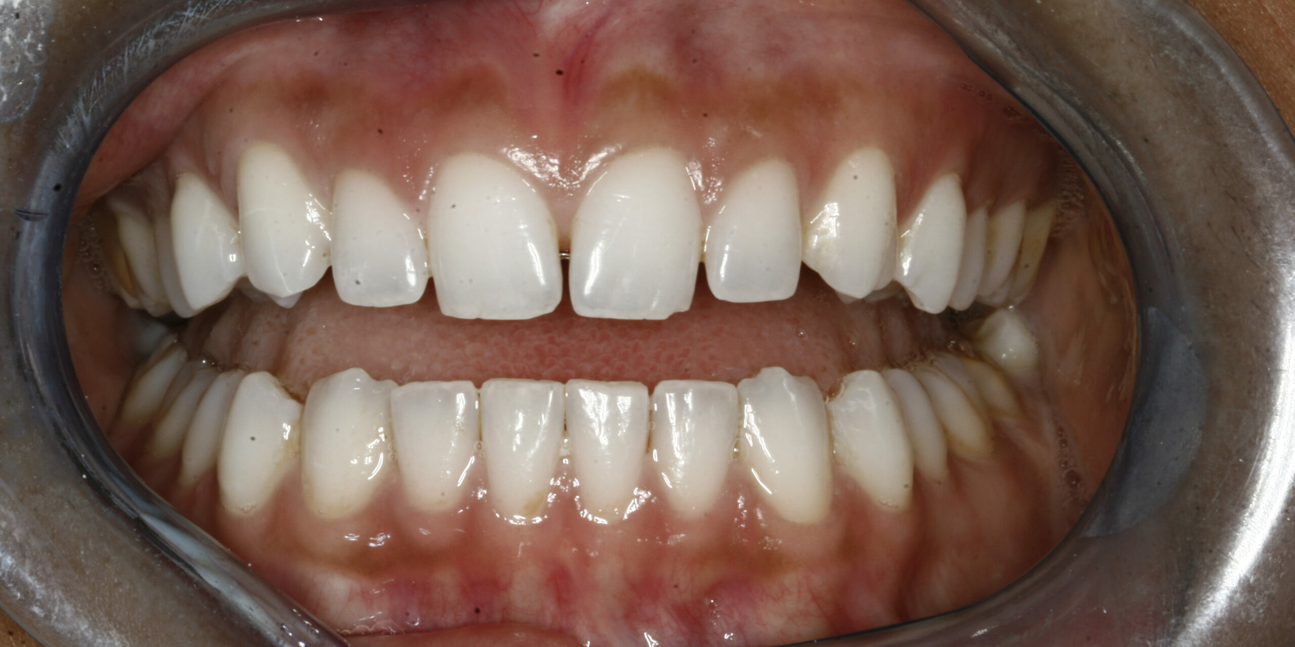
You don’t need a crown to have a smile that shines. Our patients come from all walks of life — parents, professionals, students, and friends — each with their own reason for wanting to smile again. Explore these inspiring transformations and discover what’s possible when expertise meets genuine care.
before treatment from Bosler Implant & Cosmetic Dentistry
Bosler Implant & Cosmetic Dentistry watermark
after treatment from Bosler Implant & Cosmetic Dentistry
Bosler Implant & Cosmetic Dentistry watermark

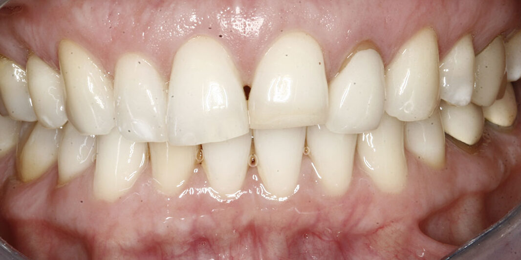
She radiates her inner beauty!

This sweet lady was a caregiver to her mother for years and when her mother passed, she left her daughter a note that said I love you. Now it’s time for you to take care of yourself.” Her new smile has made all the difference in the world, and now when she smiles, she radiates her inner beauty!

before treatment from Bosler Implant & Cosmetic Dentistry
Bosler Implant & Cosmetic Dentistry watermark
after treatment from Bosler Implant & Cosmetic Dentistry
Bosler Implant & Cosmetic Dentistry watermark
before treatment from Bosler Implant & Cosmetic Dentistry
Bosler Implant & Cosmetic Dentistry watermark
after treatment from Bosler Implant & Cosmetic Dentistry
Bosler Implant & Cosmetic Dentistry watermark
before treatment from Bosler Implant & Cosmetic Dentistry
Bosler Implant & Cosmetic Dentistry watermark
after treatment from Bosler Implant & Cosmetic Dentistry
Bosler Implant & Cosmetic Dentistry watermark
before treatment from Bosler Implant & Cosmetic Dentistry
Bosler Implant & Cosmetic Dentistry watermark
after treatment from Bosler Implant & Cosmetic Dentistry
before treatment from Bosler Implant & Cosmetic Dentistry
after treatment from Bosler Implant & Cosmetic Dentistry
before treatment from Bosler Implant & Cosmetic Dentistry
after treatment from Bosler Implant & Cosmetic Dentistry
before treatment from Bosler Implant & Cosmetic Dentistry
Bosler Implant & Cosmetic Dentistry watermark
after treatment from Bosler Implant & Cosmetic Dentistry
Before treatment from Bosler Implant & Cosmetic Dentistry After treatment from Bosler Implant & Cosmetic Dentistry
Bosler Implant & Cosmetic Dentistry watermark
Before treatment from Bosler Implant & Cosmetic Dentistry After treatment from Bosler Implant & Cosmetic Dentistry
Bosler Implant & Cosmetic Dentistry watermark
before treatment from Bosler Implant & Cosmetic Dentistry after treatment from Bosler Implant & Cosmetic Dentistry
Bosler Implant & Cosmetic Dentistry watermark
before treatment from Bosler Implant & Cosmetic Dentistry after treatment from Bosler Implant & Cosmetic Dentistry
Bosler Implant & Cosmetic Dentistry watermark
before treatment from Bosler Implant & Cosmetic Dentistry after treatment from Bosler Implant & Cosmetic Dentistry
Bosler Implant & Cosmetic Dentistry watermark
before from Bosler Implant & Cosmetic Dentistry After treatment from Bosler Implant & Cosmetic Dentistry
Bosler Implant & Cosmetic Dentistry watermark
Before treatment from Bosler Implant & Cosmetic Dentistry After treatment from Bosler Implant & Cosmetic Dentistry
Bosler Implant & Cosmetic Dentistry watermark
Before treatment from Bosler Implant & Cosmetic Dentistry After treatment from Bosler Implant & Cosmetic Dentistry
Bosler Implant & Cosmetic Dentistry watermark
Before treatment from Bosler Implant & Cosmetic Dentistry After treatment from Bosler Implant & Cosmetic Dentistry
Bosler Implant & Cosmetic Dentistry watermark
Bosler Implant & Cosmetic Dentistry

See Our Amazing Reviews